티스토리 뷰
목차
반려묘를 키우시는 분들이라면 우리 아이들이 안 아프고 잘 지내기를 바라실 겁니다. 최근 이슈가 되고 있는 볼드모트 사료로 인한 원충성 질병이 정확이 무엇이며 어떻게 하면 우리 아이들을 안 아프게 잘 지낼 수 있는지 알아보겠습니다.

원충이란
몸이 1개의 세포로 되어있는 기생충들을 모두 이르는 말입니다. 원충은 세균과 달리 세포에 핵을 가지고 있습니다. 일반적으로 세균보다 크기가 더 크고 스스로 움직일 수 있습니다. 우리 주변의 흙이나 물속에서 많이 살고 있습니다.
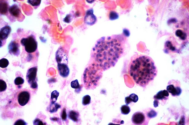
오염된 물이나 분변, 식사를 통해서 동물 간 전파되고 그 중 일부는 동물에게서 사람으로도 전파되기도 합니다. 다묘가정은 여러 곳에서 다양한 위생 상태를 경험하는 고양이들이 모여있기 때문에 감염률이 높습니다. 고양이에게 주로 감염되는 원충으로 지알디아, 트리코모나스, 크립토스포리디움이 있습니다. 현미경으로 관찰해 구분할 수 있는데요. 지알디아와 트리코모나스는 원충이 헤엄치는 모양이 관찰되며 크립토스포리디움은 원충의 알을 확인할 수 있습니다.
원충 : 지알디아
소장이나 대장에 기생하는 기생충인 지알디아에 감염되어 나타나는 증상으로 급성 및 만성 설사를 유발합니다. 영양소의 흡수 장애와 드물게 구토를 유발하며, 지알디아 알에 오염된 대변, 음식, 물 등을 통해 감염이 발생할 수 있으며, 특히 가정에서 고양이의 화장실을 이용하는 중에도 감염될 수 있습니다. 감염 후 약 5~10일 이내에 증상을 볼 수 있으며, 대표적으로 대장, 소장 설사, 악취가 나는 점액변, 지방변, 혈변 등으로 증상이 매우 악화된다. 배탈이 나면 배탈이 나면서 복통, 체중 감소 등이 발생할 수 있다. 드물게 심각하게 진행되어 탈수, 구토, 식욕부진, 기력저하 등을 일으킬 수 있다. 특히 만성적으로 혈변이나 점액변, 연변을 본 고양이는 지알디아 감염을 의심해야 한다.
지알디아 치료방법
정확하게 진단 후 항원충제 투약으로 치료가 가능합니다. 만성적으로 장에 손상이 있어 장염이 심한 경우에는 설사 증상 완화에 다소 시간이 걸릴 수 있으며 지알디아에 감염 후 치료는 빠른 편이나 재감염되기가 쉽습니다.
원충 : 트리코모나스
비위생적인 견사에서 사육되는 자견에 편모를 가지며 운동성이 있는 원충이 감염되어 발생하는 질병으로서 수양성 설사를 유발하는 원인이 됩니다. 트리코모나스는 다른 동물의 몸 밖에서는 오래 생존하지 못하며 깨끗하고 건조한 환경에서는 몇 시간 만에 죽습니다. 트리코모나스에 감염된 고양이는 호전과 악화가 반복되는 설사를 하며 소장의 문제로 설사를 하면 영양분을 흡수하지 못해 점점 체중이 감소하는 편이지만 주로 대장에 문제를 일으켜서 체중감소는 일어나지 않는 게 일반적입니다.
트리코모나스 치료방법
대부분 약물로 치료가 이루어 지며 설사 완화를 위해 유산균을 투여하거나 식이요법을 하기도 합니다.
원충 : 크립토스포리디움
콕시디아 속 원충인 크립토스포리디움의 중요한 보균가축은 소이지만 개와 고양이의 분변에서도 검출되며 이 원충은 많은 동물을 감염시키고 동물의 대변으로 나온 낭포체는 점염성을 가지고 있습니다. 낭포체는 꽤 단단하며 소독약제 중 염소 소독제제에는 저항성을 가지고 있다고 보고되어 있습니다. 사람이나 동물의 분변 내에 전염성 낭포체와의 접촉을 최소화하는 것이 전염을 예방하는 최선의 길입니다.
원충 : 톡소플라즈마
톡소플라즈마증은 편성 세포내 원충인 톡소플라스마 곤디의 감염에 의해 발생하며 대부분의 조류 및 포유동물에서는 불현성감염을 일으키지만 간혹 설사를 유발하거나 유산, 폐염,건염,안증상, 중추신경증상 등을 일으켜서 디스템버와 혼돈될 수 있는 질병입니다. 이 원충은 비고양이 생활사와 고양이 생활사로 구분되며 비고양이 생활사는 쥐, 양, 돼지등의 중간 숙주내에서 일어나는 무성의 타키조이트 형태로서 온혈동물에 기생하지만 고양이가 종숙주입니다. 톡소플라스마 곤디는 침투는 하지만 분열하지 못하는 적혈구를 제외하고는 모두 포유류의 세포 내에서 성장이 가능하며 주 생활사는 고양이와 그 먹이에서 이루어 집니다.
톡소플라즈마 감염경로
덜 익힌 고기, 육회, 생선회, 육즙, 날달걀, 잘 씻지 않은 채소, 고양이 분변, 파리, 정원의 흙
감염증상
어린 고양이나 질환으로 면역 시 저하된 성묘가 원충에 감염되면 계속해서 설사나 무른 변을 보지만, 건강한 성묘가 감염되면 식욕과 활력도 왕성하고 정상 변을 보는 무증상일 수도 있습니다. 어쩌다 한번 변 끝에 점액이나 혈액이 한 방울씩 섞인다면 단순히 소화불량이나 스트레스 일 수도 있지만 계속 증상이 나타나면 원충감염을 의심해야 하며 분변검사를 꼭 해야 합니다.



